718-491-3100
Email Us
Book Appointment
About Us
Team
Testimonials
Procedures
Implants
Invisalign
Bridge
Oral Surgery
Cosmetic Dentistry
Orthodontics
Pediatric Dentistry
Crowns
Root Canal
Teeth Whitening
Veneers
Braces
Cavity
Gum Disease
Wisdom Teeth
Patient Forms
Gallery
Contact Us
Book Appointment
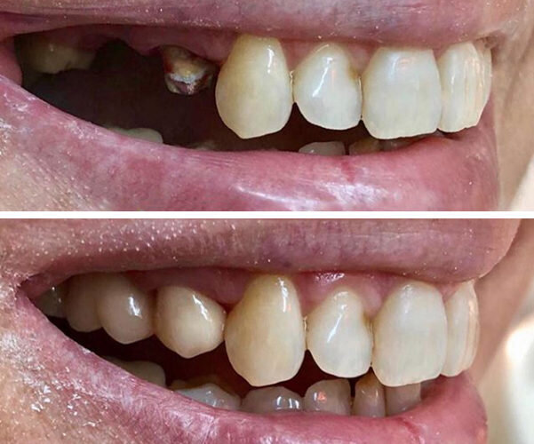
Bridge | Cosmetic Dentistry Center
Home
Gallery
Bridge
Subscribe
Leave this field empty if you're human:
Follow us
Call us